医院案内About
中央歯科医院の治療の特徴
5大 安全宣言
1. 安全安心な診療の実施
安心かつ安全にご来院頂けるように、各種委員会を組織し、「医院内の安全管理」・「院内感染」・「新治療」に対する対策を検討・実施しています。患者様の健康を守り、より良い医療をお届けするためには、患者様の安全確保を図ることが何よりであり、環境を整えることも医療サービスの原点だと考えています。


2. 安全安心な手術の実施
当院では、インプラント手術等の外科手術を行なう際、他のユニット(診察台)と隔離した専用の手術室を使用しています。これにより、クリーンな手術を可能としています。さらに、手術室には血圧・脈拍・心拍数を把握するモニターを設置し、患者様の状態の変化を監視してます。また、場合によっては笑気吸入鎮静法の設備も整えてありますので、痛みが気になるという方でも安心して頂けるものと考えています。
- ICOI国際インプラント認定医による理想的な位置への設計・埋入
- 最新CT(ガリレオス)を導入し、「セーフティーガイド」及び「サージガイド」を用いて確実安全に埋入できます。即日で仮歯まで入れることもできます
- 管理栄養士による生活習慣、食事指導も行っています。
- インプラント埋入後の定期的メンテナンス
- 安心サポートをお受け頂けます。
3. 衛生管理された医療器具の使用
当院に設置してある滅菌器は、世界で最も厳しいヨーロッパの滅菌基準をクリアしているドイツのMALAG社製のVacuklav31B+を使用しています。“滅菌能力を極める”をコンセプトに、世界トップクラスの品質と安全を提供している医療用滅菌装置の製造会社です。
当院が設置したVacuklav31B+というクラスB滅菌器は優れた滅菌性能とあらゆる器材の滅菌を可能としています。(図1参照)ドイツの歯科医療機関でのクラスB導入率は80%近いと言われていますが、日本では僅か数%と言われています。
モラルの問題ですが、当院では治療行為により人から人への感染防止は最低限守るべきものだと考え、グローバルでの品質を安心して安全にお届けすることに力を注いでいます。

- Class B
歯を削るタービンやコントラ、複雑な器具の減菌 - Class S
口腔内を吸うチューブや複雑な器具の減菌 - Class N
通常の歯科用 オートクレーブミラーや単純な器具
滅菌器
<クラスB>(滅菌対象:B+S+N) MELAG Vacuklav31B+

滅菌前、乾燥時に数回の真空状態を作り、あらゆる種類や形状の滅菌が非滅菌物を滅菌します。(クラスBは、世界で最も厳しいヨーロッパの滅菌基準)非包装または包装(一重・多重)の固形、中空、多孔性物(衣類など)
<クラスN>(滅菌対象:N) YOSHIDA HF260-Y

通常の歯科医院で行われる滅菌方法。非包装の固形物(滅菌後直ちに使用)蒸気と空気の重量の違いを利用して缶体内の空気除去を行なう。
参考資料
歯削る機器、滅菌せず再使用7割…院内感染懸念(読売新聞)
歯を削る医療機器を滅菌せず使い回している歯科医療機関が約7割に上る可能性のあることが、国立感染症研究所などの研究班の調査でわかった。患者がウイルスや細菌に感染する恐れがあり、研究班は患者ごとに清潔な機器と交換するよう呼びかけている。調査対象は、歯を削るドリルを取り付けた柄の部分。歯には直接触れないが、治療の際には口に入れるため、唾液や血液が付着しやすい。標準的な院内感染対策を示した日本歯科医学会の指針は、使用後は高温で滅菌した機器と交換するよう定めている。
医療法改定で安全を確保することが義務づけられた
「歯科外来診療環境体制加算(外来環)」
- 「外来環」は以下の条件を満たす歯科医院が社会保険事務局に届け出を行うことで、受け取ることができる保険点数です。
- 歯科医師が指定された安全対策に関する研修を終了している。
- 歯科衛生士が勤務している
- 救命救急の器具や薬剤などが常備されている。(AED、血圧計、パルスオキシメーター、生体モニター、酸素、救急蘇生セット)
- 口腔外バキュームを設備している。(顔の前でゴーッという音を立る掃除機のような器具。口の中の水を吸引するバキュームではない。)
- 器具の滅菌等、院内感染防止対策をしっかり行っている。(歯を削る道具を患者さんごとに滅菌することなど)
- 感染症を持った患者さんに対応できる設備とシステムを整備している。
このように外来環の届け出を提出するには、安全対策の最低限のハードルをクリアしなければなりません。つまり、届け出を行っているということは、その歯科医院は「うちは安全対策ちゃんとやってます」とお上に申し出ているということなのです。
4. 薬の誤投与防止
医療事故防止は、当院だけでなく医療に携わる全ての者の願いの一つです。
その医療事故の中の一つに薬の誤投与が挙げられます。医療環境の変化に伴う後発医薬品の採用が進み、薬剤においても適切な処方が求められます。
当院では、病歴・アレルギー等といった全身の状態等を問診時にお聞きし、治療時や処方時に反映させています。また、場合によっては患者様に「お薬手帳」の提示をお願いし、ヒューマンエラーによる誤投与防止に努めています。
チェアサイドでのチェック、受付でのチェック薬局でのチェックと3つの部分でのチェック●を生かし、また、服用の際の注意事項や福採用に対して簡単に説明し、正しく服用して頂ける様、務めております。
5. 医療機器の安全操作と管理
当院には歯科用CT・マイクロスコープ等といった最新設備を設置し患者様の健康を図るために日々努力しています。数ある中から当院を選択され通院されている患者様のご要望に応える為にも、日進月歩と言われる医療業界で最新設備を導入することは必要不可欠だと感じています。
当院では月に一度勉強会を開催し、その際に医療機器メーカーを講師に招き操作・知識等の水平展開を行なうようにしています。医療機器に関する教育や適切な使用・保守管理を行なうことにより患者様に安心安全を感じて頂けるように努めています。
医療機器の安全操作、管理
新人スタッフに対しては新人教育プログラムの中に落とし込み一人一人が適切な操作と管理が出来る様に努めています。
技工質のデジタル化によりヒューマンエラーを防止しております。
出来るだけ神経を取らない治療
当院ではできるだけ神経を取らない治療をお勧めします
神経を取ることのデメリット
- 歯が失活することにより変色(黒変)してくる。審美的悪化
- カリエスが進行しても症状が出ないため手遅れになることがある
- 根尖病変を生じやすい・・・・歯髄は天然の根充材
- 失活すると歯に粘り気がなくなり破折しやすくなる。
- 失活して14年ほど経過すると咬合圧でも破折しやすくなり結果、歯の寿命が短くなる
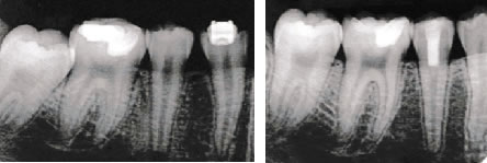
虫歯が進行して歯の神経のまで達してしまったら従来は神経を取る治療しか手段がありませんでした。しかし、近年開発されたMTAセメントとよばれる新しい虫歯治療材料で、必ずしも歯の神経を取らなくても治せる可能性が生まれました。当院では患者様の歯の神経を極力取らない治療法でむし歯治療を行っております。
※なぜ神経を取らないといけないの?
むし歯を放っておくと虫歯菌に感染してしまうからです。
身体は免疫力で細菌を排除しようとします。
しかし、歯の神経の場合、虫歯菌が歯の表面から入るためこの免疫力が負けてしまうのです。
そして、歯の根の先にまで虫歯菌が到達しますと、そこから出て行き、歯槽骨とよばれる歯を支えている骨に膿をためた袋を作るようになります。
こうならない為に、感染した歯の神経を取り除き、歯の内部を消毒することで無菌状態に保つということが、いままでの虫歯治療の基本的な考え方でした。
このMTAセメントは封鎖性、殺菌能力が高く、虫歯に冒された象牙質の再形成を促進する硬組織形成作用もあります。隙間が少ないので、虫歯菌が侵入することは非常に困難です。





上記のように、MTAセメントとプラズマ殺菌を併用することによって歯髄の全部もしくは一部を残すことができます。歯は歯髄を全部取ると枯れ木のようにもろくなる為、内部を補強して被せていかなければならなくなります。
MTAにより象牙質が出来ていて神経を残すことによって歯の寿命は長くなります。

メリット
| 高い殺菌作用 | 虫歯が神経まで達すると、神経を除去する必要があります。ある程度まで虫歯が除去できる場合、MTAセメントで殺菌することにより歯の神経を残すことができます。 |
|---|---|
| 高い封鎖性 | 通常のセメントは時間の経過とともに縮小し、その隙間から細菌感染しやすくなりますが、MTAセメントは固まると膨張するので、隙間ができにくく細菌感染する確率は低下します。 |
| 高い生体親和性 | 一般的なセメントは水分に接すると接着力が低下しますが、MTAセメントは根管内や骨に面した部分など、血液や組織液で濡れている部分でも使用可能です。 |
デメリット
| 自費診断 | MTAセメントを使用する時は、保険診療外となるので治療費は高額です。 |
|---|---|
| 一次的な神経過敏症の可能性 | 処置後は、虫歯除去時の刺激等により一時的に神経が過敏になり刺激でしみる場合があります。ですが、これらの症状は徐々に軽減・消失していきます。 |
痛みへの配慮
当院では、治療時のお痛みや不安を和らげるために、以下のような様々な工夫を行っております。お気軽にご相談ください。
表面麻酔
麻酔薬を歯肉に塗って表面の感覚を麻痺させる方法です。
表面麻酔を行った後に麻酔の注射をすると “麻酔の痛み”が楽になります。
33ゲージの注射針
麻酔時に使う注射針は33ゲージという歯科業界では一番細い針を使っています。
太い針より細い針のほうが痛みが少ないです。
笑気麻酔
笑気(亜酸化窒素)ガスを20~30%吸入することで不安感や恐怖心を少なくし、リラックスすることで痛みを感じにくくさせます。
