診療案内Menu
歯周治療
歯周病について

LPS 歯周病原菌
歯周病は、歯と歯茎の周囲の組織に影響を与える炎症性の慢性疾患です。この病気は、歯垢(プラーク)と歯石(タータル)が歯と歯茎の間に溜まり、そこに細菌が増殖して炎症を引き起こすことによって発症します。驚くことに、歯周病は歯を失う原因の第一位として知られています。
歯周病の主な症状
歯周病の主な症状には、以下のようなものがあります
- 歯茎の腫れや赤み:歯周病が進行すると、歯茎が腫れて赤くなります。
- 出血:歯磨きや硬い食べ物を噛んだときに出血することがあります。
- 口臭:口腔内の細菌が増えることで、悪臭が発生します。
- 歯の動揺:歯を支える組織が弱くなるため、歯が動きやすくなります。
- 歯茎の後退:歯茎が下がり、歯根が露出してしまうことがあります。
重度の歯周病になると、歯を支える組織である歯槽骨が破壊され、歯が動揺し、最悪の場合には歯を失うことになります。
歯周病の進行
健康な状態

歯と歯ぐきのすき間(ポケット)もなく、歯ぐきがひきしまっている。
軽度歯周病

歯ぐきが赤く腫れ上がり、歯を磨いたり硬いものを食べると出血することもある。
治療法:スケーリング、ルートプレーニング

顎の骨が溶け始めた状態。
歯の表面に付いている目で見える歯石や、歯ぐきで隠れている浅い部分の歯石を機械や器具で取っていきます。
・歯垢:歯の表面や歯と歯ぐきの境目などに付着している細菌のかたまり。プラークとも言います。
・歯石:歯垢が石灰化して石のように固まったもの。一旦付くと歯ブラシでは取り除けません。
中度歯周病

ポケットの炎症が慢性化して、骨が溶けはじめる。口臭もあり、歯が浮いたような感じがある。
治療法:歯周ポケットそうは術

顎の骨が半分ほど溶けた状態。
歯ぐきの内側のより深い所までついている歯石を取り除き、歯の表面をなるべく細菌がつきにくくするよう、すべすべに掃除します。このくらい深い位置になってくると麻酔を使います。
歯槽骨(しそうこつ):歯の根を支える骨。
重度歯周病

歯根を支えている骨がほとんど溶けてしまう。歯根が露出し歯のグラつきがひどくなる。
治療法:フラップ術

顎の骨が2/3以上溶けた状態。
重度にもなると骨がかなり吸収され、歯周ポケットが深すぎるため、手探りで歯石を取るのには限界があり非常に困難です。そのため、麻酔をし歯ぐきを切り開 き歯の根っこについた歯石を良く見える状態で徹底的に取り除きます。
また、余計な歯周ポケットを作っている汚染された歯ぐきを除去し、歯周ポケットを浅くす ることで、その後のメインテナンスをやりやすい方向にもっていきます。

そして進行すると、歯周ポケットと呼ばれる歯と歯肉の境目が深くなり、歯を支える土台がとけて歯が動くようになって歯を失う原因になります。ところで、成人の多くが遅かれ早かれ歯周病にかかっているのをご存知でしょうか?日本人の成人の約8割が歯周病に罹患していると言われています。
命を狙う歯周病
歯周病はお口の中だけの病気ではなく全身の健康と大きくかかわる病気です。歯周病を早期発見し、早期治療で治す、また、再発予防のため口腔管理を継続することが全身の健康につながります。

「歯周病が引き金」全身疾患とその影響。
歯周病があり、歯肉の中に歯周病菌が浸入しますと菌がリンパ管や血管の中に入り込みます。そうしますと歯周病菌はリンパ管や血管を介して全身に運ばれ各臓器に取り付いてしまいそこで悪さをするのです。心臓に取り付くと歯肉が健康な人に比べて致命的な心臓発作を引き起こす確立は約3倍も高くなります。同様に脳の血管に取り付き動脈硬化が生じた結果非出血性の脳卒中になる危険性は健康な人に比べ2.1倍も高くなります。 また気管支から肺に歯周病菌が入っていくと重い肺炎にかかりやすいと言われています。 さらに歯周病患者では早産が多く、低体重出産の確立が健常者の7倍となっています。
糖尿病患者は歯周病の治療からと言われているように歯周病にかかると糖尿病は悪化傾向をたどります。他に歯周病が進行しやすい環境因子(リスクファクター)の代表として糖尿病や喫煙習慣があります。糖尿病に関しては前述した他に糖尿病に罹患していると歯周病はかかりやすくなり、糖尿病の第6番目の合併症とも言われています。 また喫煙者は歯周病が極めて治りにくくそれはたばこの煙の中のニコチンタールなどの有害物質が歯周組織の破損を進行させたり、極めて傷の治りを悪くするからです。 その他の因子にはストレスや薬の副作用、遺伝的になりやすい等があります。
従って、歯周治療をしっかり行って、お口の中の歯周病原菌の数をコントロールすることにより全身の病気の発症を未然に防ぎ健康維持、獲得することが出来るのです。
歯周病の管理と予防
歯周病は、歯科医院での適切な治療や定期的なメンテナンスが必要です。風邪のように時間と気合で治るものではありません。異変を感じたら、できるだけ早く歯科医を受診することが重要です。
歯周病予防のためには、以下の点に注意しましょう
- 適切な口腔衛生:毎日の歯磨きとデンタルフロスの使用が不可欠です。
- 定期的な歯科検診:少なくとも半年に一度は歯科医院で検診を受けることが望ましいです。
- 健康的な生活習慣:バランスの取れた食事、禁煙、適度な運動が口腔の健康を保つ鍵です。
中央歯科の歯周治療の4原則
- 患者さん自身の歯磨き(プラークコントロ-ル)
- 歯肉の中(歯周ポケット)の歯石除去
- 病みたがらない歯肉づくり→食生活の見直し
- 定期治療(メインテナンス)
4mm以上ポケットが残る場合はSPTへ。3mm以内(治癒)は自費メインテナンスへ移行
昨今まで歯周病原菌の感染により、一度骨が溶けると骨が再生されることはなかなか困難でありました。しかしながらここ十数年のうちに再生治療が著しく進歩し、症例によってはほぼ元通りに骨が再生される事も可能となりました。 どうぞお気軽にご相談ください。
歯周病治療の必要性
歯周病治療は、単なる口腔内の問題解決だけでなく、全身の健康維持にも重要です。以下にその理由を説明します。
歯周病の進行を止める
歯周病は進行性の疾患です。放置しておくと症状は悪化し、最終的には歯を失うリスクが高まります。適切な治療を受けることで、歯周病の進行を止め、歯を守ることができます。
歯周病に関連する健康リスクの軽減
歯周病は口腔内だけでなく、全身の健康にも影響を与えます。例えば、心疾患や糖尿病との関連が指摘されています。歯周病の治療を適切に行うことで、これらの健康リスクを軽減することが可能です。
症状の軽減
歯周病には不快な症状が伴います。歯茎の腫れや出血、口臭などがその例です。適切な治療を受けることで、これらの症状を軽減し、口腔内の快適さを回復することができます。
笑顔と美容の自信の回復
重度の歯周病が進行すると、歯を失うことがあります。適切な歯周治療を受けることで、口腔内の環境を整えたり、失った歯を治療で補ったりすることで、口元の美しさや咀嚼機能を回復することができます。これにより、笑顔や美容に対する自信を取り戻すことができます。
主な治療方法
スケーリング

すでに歯の表面にこびりついてしまった歯石は歯ブラシでは取れません。専門の担当衛生士がこの歯石を取り除きます。
必要に応じてルーペにて根面を確認して綺麗に掃除します。

キュレットを用いて、歯根面の歯垢、歯石、歯周病菌に汚染された歯質を除去してなめらかにします。
厳密にいうとスケーリングは歯肉より上の部分においては歯の歯の見える部分から付着物を除去することであり、歯肉縁下においては根面からプラークと歯石を除去することを言います。
TBI
あなたの歯ブラシの仕方を分析し、きちっと効率よく磨くことの出来る方法を患者様とともに考え、実践していきます。歯肉の状態に合わせて使用するハブラシや補助用具のアドバイスを行います。
ルートプレーニング
軟化したセメント質を除去し、根面を滑沢かつ平滑にします。
歯周外科処置
歯肉溝が5mm以上残り、歯肉溝の中が見えない状態でなかなか歯石除去が完全に行われない場合、歯肉を剥離し直視下で徹底的にきれいにします。
歯槽骨再生治療
再生治療方法の有効とみなされる症例に対しては歯槽骨(歯を支えている骨)の再生治療を行います。リグロス、人工骨を行うことによってより多くの再生骨量を獲得することが出来ます。この治療を希望する場合は遠慮なくご相談ください。
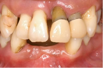
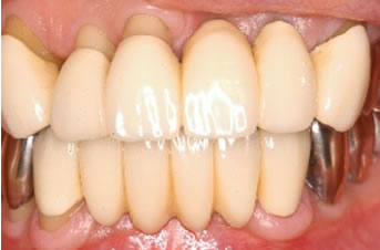
症例1
治療の特徴(患者T様)
平成13年7月7日 右下第一大臼歯頬側に膿瘍形成 著しい腫れ形成 著しい腫れ

- 男性33歳
- 平成14年11月9日 どうしても抜きたくないということで歯周外科処置する。
- その後H16から1~2カ月おきにメインテナンス。
- 平成16年6月11日 歯周治療により骨が出来てきています。
口の中から細菌を除去し、良好な環境を維持していくことによって歯周組織である歯槽骨や歯肉、歯根膜は生き生きとよみがえってきます。継続は力なりと申しますが根気良く治療を続けることで健康が回復し維持されます。
| 歯周外科に対するデメリット | 外科処置ですので麻酔が必要な処置である。全身疾患がある場合には先に体調管理を行う必要がある。処置後1週間ぐらいは治療部位のブラッシングが出来ない。冷たいものがしみることがある。 |
|---|---|
| 治療期間 | 4年7カ月 |
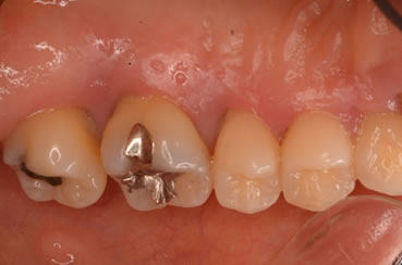
症例2
治療の特徴(患者Y様)
初診 2016年5月17日 / 経過 2018年7月2日
| 治療期間 | 2年2カ月 |
|---|---|
| 費用 | 保険内治療 |
| オペ費用 | 1ブロック約9,000円(3割負担) |
| 治療のデメリット | 歯内退縮が見られる。知覚過敏の症状が出ることがある。 |
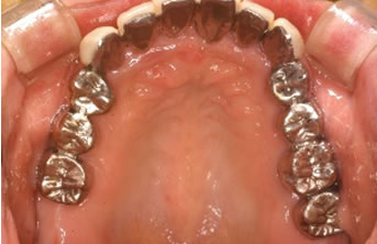
症例3
治療の特徴(患者I様)
初診 2015年5月1日 / 経過 2018年7月2日
| 治療期間 | 2年5カ月(2019年5月時点SPT中) |
|---|---|
| 費用 | 保険内治療 |
| 歯間外科処置 | 1ブロック約9,000円(3割負担) |
| 治療のデメリット | 外科処置を伴う・治療期間が長い(歯槽骨の安定を見る為) 歯周 外科処置後歯肉の位置が下がる為知覚過敏が起こりやすい |
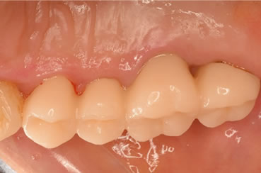
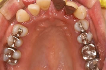
症例4
治療の特徴(患者I様)
初診時においては物を咬むと違和感が強く歯周外科処置を行いました。
骨のラインが部分的に増え、平坦にきれいに治っています。




2019年5月20日現在
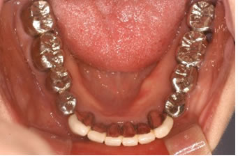
CPW(Chuuou Perfect Water)
当院では歯周治療に、殺菌溶菌効果が期待できる高濃度次亜塩素酸水を使用しています。高濃度次亜塩素酸水とは、電気分解によって作られた水であり人体にも優しいといった特徴を持ちながらも細菌には強い効能があります。
このCPW水を使って洗口をしたり、歯周ポケット内を洗浄することで歯周治療の効果を格段に高めてくれます。
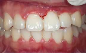
歯周ポケット内をCPWで洗浄した時の変化
CPWによるイリゲーション前の状態
CPWによるイリゲーション後の状態
左の画像は、歯肉からの出血がある患者のものです。
歯周ポケット内をCPWを用いて治療しました。
右の画像は、治療後2週間後の口腔内の状態です。
(人によって個人差があります。あくまで一例です。)
CPWの特徴
- 舌にピリピリ感が出る
- わずかに腐食する場合がある
- 無害
- 細菌を殺菌する力が強い
※次亜塩系酸がイオンの状態で存在します。
味が気になる場合は2倍に薄めて使用するかCPW使用後アスコルビン酸溶液にてうがいをすることをお勧めします。
歯周治療の流れ
細菌・リスク検査
まずあなたの口の中にどんな歯周病原因がいて、どのくらいいるかを調べて見ることが出来ます。あなたの歯周病の危険度が、簡単な検査と診断でわかります。

顕微鏡検査
資料採得

口腔内写真
歯肉の状態、歯石の付き具合歯並び、咬み合わせ、歯の形態などをチェックします。
治療後の口腔内の変化の説明にも使用します。

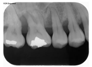
X-Ray(レントゲン)写真
骨の状況、またむし歯の状態、咬み合わせによる歯牙への負担をチェックします。
歯周組織の検査をしましょう

深さをチェック!
歯肉の溝の深さを測定する検査です。 細い針(プローブ)を溝の中に入れ測ります。 歯肉の溝が深いと一般的には歯周病が進行し易くなります。4mm以上のポケットは歯周病にかかっていると判断されます。

出血をチェック!
歯肉からの出血を確認します。 歯肉の溝の内面を軽く触れることによって調べます。 歯肉の溝の中に炎症があることを意味します。

グラグラ度をチェック!
歯をピンセットで把持して、その動揺を調べます。歯肉の動きが強いと感染しやすい状況にあったり歯を支えている歯が少なくなっていることを意味します。

歯肉のわきから膿(うみ)が出ているかをチェックします。 膿が出ている場合には今まさに骨が溶けていることを意味します。
カウンセリング、治療計画
検査の結果からレントゲンを分析し今後の歯周病の進行具合をシュミレーションします。さらにどのように治療していくか計画を立てます。患者さんの同意を得て治療に入ります。
治療結果の確認
精密検査・歯周検査・X-ray(レントゲン)撮影の必要性
一通りの治療が終了し充分な治癒期間が経過いたしましたら資料を採得しその結果(いわゆる成果)を確認する必要があります。その分析を行うことで、今後の治療方針が決定されさらにはSPT移行への時期がわかります。
口腔衛生管理の重要性(SPTⅡ)
そもそも「SPT(エスピーティー)って何?」と思われる方もいるかと思います。SPTとは「歯周病安定期治療」のことです。
治療結果が良好であれば治療終了となりますが、歯周病は非常に再発しやすい病気の為、再発予防の為の口腔衛生管理が必要となります。
実はこれからが本当の治療の始まりとなります。
定期的に細菌コントロールを行うことにより歯周病再発の防止、進行を緩やかにすることが可能となります。

定期治療(口腔衛生管理)の間隔は個人によって違います。 ドクター、担当衛生士があなたの口腔内、全身のリスクに応じて、 アドバイス致します。レッドゾーン(病気)に下がる手前で定期治療を受けることが必要です。
これが口腔衛生管理の間隔となります。
歯周病は放置すると重大な口腔内および全身の健康問題を引き起こす可能性があります。しかし、適切な治療と予防策を講じることで、そのリスクを大幅に減らすことができます。日々の口腔衛生を大切にし、定期的に歯科検診を受けることが、健康な歯と歯茎を保つための最善の方法です。
