医院案内About

  • TOP
  • 先進的歯周病治療「ブルーラジカル」

先進的歯周病治療「ブルーラジカル」

非外科的歯周病治療とは

非外科的歯周病治療とは、歯周病を治すために手術をせずに行う治療法です。歯周病は、歯と歯ぐきの間に細菌がたまり、炎症を引き起こす病気です。従来の治療では、重症になると歯ぐきを切って掃除する外科手術が必要でしたが、非外科的治療ではその手術を行わずに治療を進めます。

例えば、スケーリングという方法で、歯や歯ぐきにたまった汚れや歯石を専用の器具で取り除きます。また、ブルーライトや薬を使って歯周ポケット(歯と歯ぐきの間の隙間)にいる細菌を殺す治療もあります。この方法は、痛みが少なく、回復も早いのが特徴です。

ブルーラジカル

ブルーラジカル

非外科的歯周病治療器「ブルーラジカル P-01」は、先進的な歯周病治療を提供する革新的な装置です。
この装置は、歯周ポケット内の細菌を効果的に除去し、歯周組織を保護しながら治療を行います。従来の歯周病治療では外科的なアプローチが必要でしたが、ブルーラジカル P-01はそのような手術を必要とせず、非侵襲的な治療が可能です。

従来の歯周病治療との違い

従来の治療法

超音波振動のみの場合

ブルーラジカル

超音波振動+ラジカル殺菌の場合

引用元:Luke株式会社( https://luke-br.com/

痛みの軽減

特殊なブルーライトを用いて、歯周ポケット内の細菌を効果的に破壊します。これにより、炎症を抑え、歯周病の進行を防ぎます。

高い殺菌力と安全性

非外科的なアプローチであるため、患者の痛みや不快感を最小限に抑えます。局所麻酔や抗生物質の使用も減少し、治療の負担を軽減します。

早期治療の促進

早期の歯周病治療が重要であるため、ブルーラジカル P-01は短時間で効果を発揮し、患者の回復を迅速化します。

持続可能な結果

定期的な使用により、歯周ポケットの清掃が改善され、長期的な歯周組織の健康維持が期待できます。

ルーラジカル P-01は、最新の技術を活用して歯周病治療の革新を実現し、患者の歯周組織の健康を守ることに貢献しています。その効果と安全性により、多くの歯科医院で導入され、患者の満足度も高まっています。

重度歯周病に対する効果を国が認めた唯一の歯周病治療器

重度歯周病に対する効果を国が認めた唯一の歯周病治療器

「ブルーラジカル P-01」は、重度歯周病の非外科的治療器として世界初の実用化に成功しました。厚生労働省の医療機器認定を受けた初の装置で、「歯周治療・歯周炎・歯周ポケットの殺菌・スケーリング」に対応しています。

治験において、従来の治療法と比較して歯周ポケットの減少効果が優れていることが証明されました。過酸化水素にレーザー青色光を照射することで、ラジカル殺菌を行い、歯周ポケット内の細菌を効果的に除去します。切開や縫合が不要なため、回復が早いのも特徴です。

この装置は、特にステージⅢ・Ⅳの重度歯周炎の方に対して、殺菌とスケーリングを同時に行うことができます。

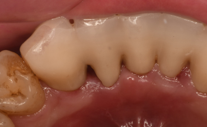
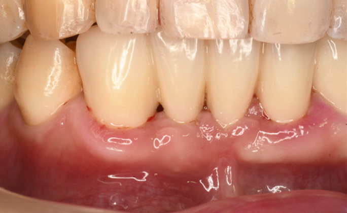
ブルーラジカル症例

術前

術後

症状、主訴 下の前歯に痛みがあり、腫れた
治療内容 ディブライトメント+ブルーラジカル照射
治療期間 1週間(現在、経過観察中)
治療回数 診断+ブルーラジカル照射1回
費用 診断料¥33,000+ブルーラジカル照射(1歯)¥11,000
リスク・副作用 ブルーラジカル照射後2.3日は、疼痛がみられる場合があります。